At Nepean Diagnostics we offer uncompromised image quality and clinical capabilities through the convergence of coverage, spatial resolution, temporal resolution and spectral imaging.
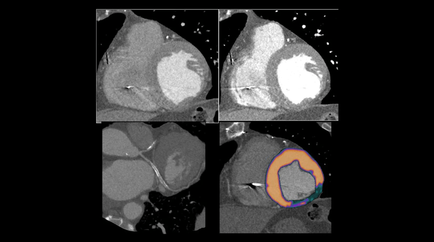
Comprehensive Cardiac
1-beat comprehensive cardiac assessment - even at high heart rates 120kV / 510mA / 0.28 sec rotation /BMI 32 / 86 bpm / 8mSv
Comprehensive Cardiac
Comprehensive Cardiac
Cardiac Low Dose
1-beat, high definition, motion free, low dose cardiac 80kV / 500mA / 0.28 sec rotation / BMI 23 / 55 bpm / 0.9mSv
Cardiac Low Dose
1-beat, high definition, motion free, low dose cardiac 80kV / 350mA / 0.28 sec rotation / BMI 21 / 69 bpm / 0.6mSv
Cardiac Rest/Stress Perfusion
Rest/Stress perfusion with motion free coronarie 120kV 325 mA / 0.28 sec rotation / 60bpm / 77bpm /BMI 28
Whole Aorta
Fast body vascular imaging using 4 volumes 120kV / 415mA / 0.4 sec rotation / BMI 29 / 12mSv
Whole Aorta
Fast body angio imaging with 4 volumes 120kV / 350mA / 0.28 sec rotation / BMI 29
Tavi Follow-Up Whole Aorta
Rapid TAVR planning (follow up) with 4 volumes 120kV / 480mA / 0.28 sec rotation
Carotids
High definition head neck angio with 2 volumes 100kV / 300mA / 0.8 sec rotation / BMI 25 /2.3mSv
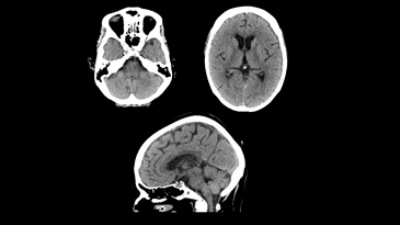
Routine Brain in One Rotation
Remarkable gray-white matter differentation Axial / 100kV / 1 sec rotation / CTDIvol 41.1mGy
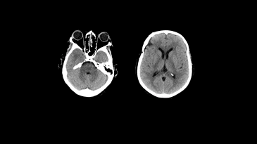
Neuro Imaging
Routine head imaging 149kV / 250mA / 1 sec rotation / 1.9mSv
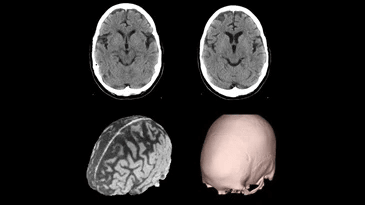
Routine Brain
Excellent IQ in the Posterior Fossa and Bone/Brain Interface Axial / 100kV / 1 sec rotation / CTDIvol 40.9mGy
LCD - Low Noise
Excellend low contrast detectability with low noise 140kV / 345mA / 0.8 sec rotation / 4.2mSv
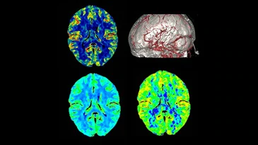
Circle of Willis
Lowdose high definition neuro CT angiography 120kV / 200mA / 0.8 sec rotation
Nepean Diagnostics is an independently owned and operated
practice offering comprehensive services for both diagnostic
and interventional radiology.
Monday - Friday
08:00AM - 05:00PM
Suite 1, Ground Floor, Nepean Private Hospital
1-9 Barber Avenue, Kingswood NSW 2747
Phone: (02) 4725 8700
Fax: (02) 4725 8720
Email: enquiries@nepeandiagnostics.com.au